Αισθητική Οδοντιατρική Info

Η αισθητική λεύκανση βελτιώνει το χαμόγελο σας
Tο χαμόγελο σας αποτελεί ένα μεγάλο κομμάτι της εικόνας που παρουσιάζετε - γίνεται αισθητό πριν ακόμα πείτε ούτε μια λέξη. Αν τα δόντια σας έχουν κηλίδες χρωστικής ή έχουν κιτρινίσει με την πάροδο της ηλικίας, ίσως να δημιουργούν μια αρνητική εντύπωση στους ανθρώπους γύρω σας κι εσείς να μην το αντιλαμβάνεστε. Η πρόοδος στην αισθητική οδοντιατρική δίνει τη δυνατότητα για αρκετές επιλογές θεραπευτικής λεύκανσης. Ο οδοντίατρος σας θα καθορίσει, ποιος τύπος λεύκανσης θα είναι καταλληλότερος, για τη δική σας ιδιαίτερη περίπτωση.

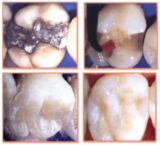
Γιατί πρέπει να αντικατασταθούν τα σφραγίσματα μου;
Τα σφραγίσματα-αποκαταστάσεις των δοντιών μπορεί να έχουν διάρκεια ζωής πολλών ετών προτού χρειαστούν αντικατάσταση. Εν τούτοις, η συνεχής πίεση από τη μάσηση και το τρίξιμο των δοντιών μπορεί να προκαλέσει φθορά, ρωγμές, θραύση ή και απόπτωση ενός σφραγίσματος.
Τι είναι οι όψεις πορσελάνης;

Μία οδοντιατρική όψη είναι ένα λεπτό στρώμα υλικού στο χρώμα του δοντιού, συνήθως από πορσελάνη, που συγκολλείται στην πρόσθια πλευρά του δοντιού προκειμένου να βελτιωθεί η αισθητική εικόνα του δοντιού. Αυτές οι όψεις κατασκευάζονται από τον οδοντοτεχνίτη, με βάση ένα εκμαγείο - μοντέλο του στόματος που δίνει ο οδοντίατρος σας. Αφού οι όψεις συγκολληθούν στο στόμα μπορούν να φαίνονται τόσο φυσικές όπως και τα άλλα φυσικά σας δόντια.
