Εμφυτεύματα Info
Εμφυτεύματα : Μια νέα λύση για σένα
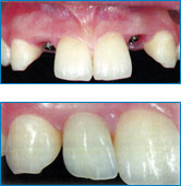
Τι είναι το εμφύτευμα;

Το εμφύτευμα είναι ένα τεχνικό υποκατάστατο της ρίζας του δοντιού και τοποθετείται όπου έχει χαθεί το φυσικό δόντι. Το οδοντικό εμφύτευμα επιτελεί την ίδια βιολογική λειτουργία με το φυσικό δόντι. Με τα εμφυτεύματα έχουμε την ίδια αίσθηση όπως πριν στο στόμα μας, με άριστη μάσηση, ορθή άρθρωση στην ομιλία μας, τέλεια αισθητική και παράλληλα αποτελούν την πιο ιδανική λύση για την αντικατάσταση των φυσικών μας δοντιών. Το εμφύτευμα κατασκευαστικά είναι ένας μικρός άξονας από καθαρό τιτάνιο υλικό απόλυτα βιοσυμβατό και χρησιμοποιείται στην οδοντιατρική πάνω από 25 χρόνια. Τα οδοντικά εμφυτεύματα επιτρέπουν σε ανθρώπους που έχουν χάσει δόντια, να ξαναποκτήσουν την ικανότητα να μασούν χωρίς περιορισμούς και να χαμογελούν με ευκολία και αυτοπεποίθηση, γνωρίζοντας πως διαθέτουν ξανά φυσική εμφάνιση. Τα οδοντικά εμφυτεύματα έχουν βελτιώσει την ποιότητα ζωής σε εκατοντάδες χιλιάδες ανθρώπους στον κόσμο, όλων των ηλικιών, δίνοντάς τους σημαντικότατα πλεονεκτήματα.
Διαδικασία εμφύτευσης

Η διαδικασία εμφύτευσης πραγματοποιείται στο οδοντιατρείο από γναθοχειρούργο ειδικά εκπαιδευμένο και με τον κατάλληλο εξοπλισμό. Η επέμβαση είναι τις περισσότερες φορές ανώδυνη και μπορεί να γίνει με τοπική αναισθησία όπως και σε άλλες οδοντιατρικές θεραπείες. Η διαδικασία περιλαμβάνει μικρή τομή στο ούλο, και τοποθέτηση του εμφυτεύματος στο οστό. Μετά την επέμβαση συνταγογραφούνται συνήθως παυσίπονα και, αν κριθεί απαραίτητο από τον οδοντίατρο, αντιβιοτικά. Το επόμενο στάδιο αφορά ενσωμάτωση του εμφυτεύματος από το οστό. Σε αυτή την φάση δεν ενοχλούμε το εμφύτευμα για περίπου 3 μήνες έως ότου γίνει ένα με το οστό. Το καινούριο σας τεχνητό δόντι, του οποίου ο σχεδιασμός στηρίζεται αποκλειστικά στις δικές σας λειτουργικές και αισθητικές ανάγκες, θα ενωθεί σταθερά με τα εμφυτεύματα. Η κατασκευή του μπορεί να απαιτήσει πολλές συνεδρίες ώστε να εξασφαλισθεί το κατάλληλο σχήμα, μέγεθος, χρώμα και εφαρμογή.
Συχνές ερωτήσεις
Τα εμφυτεύματα τοποθετούνται σ' όλους όσους έχουν καλή οστική μάζα και είναι υγιείς. Ο οδοντίατρος σας θα σας ενημερώσει για την καταλληλότητα του στόματος σας για να δεχθεί ένα εμφύτευμα καθώς επίσης και τι τύπου εμφυτεύματα θα τοποθετηθούν. Θα πρέπει να γνωρίζετε ότι η θεραπεία απαιτεί καλή στοματική υγιεινή και συχνή επαφή με τον οδοντίατρο σας. Το ποσοστό επιτυχίας των εμφυτευμάτων ξεπερνά το 95%.
Θα δείχνει το καινούριο μου δόντι φυσικό; Τα καινούρια σας δόντια θα είναι ό,τι πιο κοντά στα φυσικά σας δόντια. Θα φαίνονται, θα λειτουργούν και θα τα αισθάνεστε σαν τα δικά σας δόντια.
Πόσο επιτυχία έχει αυτή η επέμβαση; Επιστημονικές κλινικές έρευνες για πάνω από 20 χρόνια έχουν αποδείξει πως είναι μια από τις πιο αξιόπιστες θεραπευτικές πράξεις στην οδοντιατρική. Υπό ελεγχόμενες συνθήκες, τα ποσοστά επιτυχίας ξεπερνούν το 95%.
Είναι η επέμβαση επώδυνη; Όχι. Ασθενείς αναφέρουν πως η ενόχληση είναι ελάχιστη είτε κατά τη διάρκεια, είτε μετά την επέμβαση. Οι περισσότεροι ασθενείς νιώθουν πολύ μικρότερη ενόχληση από αυτό που ανέμεναν. Η πλειοψηφία των ασθενών νιώθει άνετα απλά με Depon - Panadol κτλ.
Έχουμε όριο ηλικίας; Η τοποθέτηση εμφυτεύματος δεν εξαρτάται από την ηλικία αλλά από την οστική μάζα που υπάρχει. Ο οδοντίατρός σας μπορεί να σας βοηθήσει αξιολογώντας μετά από πανοραμική ακτινογραφία ή αξονική τομογραφία την περιοχή της γνάθου.
Είναι εύκολη η συντήρησή τους; Μετά την τοποθέτηση των εμφυτευμάτων εσείς έχετε την ευθύνη για την μακροπρόθεσμη επιτυχία. Απαραίτητη είναι η καλή στοματική υγιεινή γιατί το εμφύτευμα απειλείται από την οδοντιατρική πλάκα. Να ξέρετε ότι ένα καλό βούρτσισμα μετά από κάθε γεύμα είναι απαραίτητο.
